Glioblastoma Multiforme Iv Stádium





Safety And Maximum Tolerated Dose Of Superselective Intraarterial Cerebral Infusion Of Bevacizumab After Osmotic Blood Brain Barrier Disruption For Recurrent Malignant Glioma In Journal Of Neurosurgery Volume 114 Issue 3 2011

Safety And Maximum Tolerated Dose Of Superselective Intraarterial Cerebral Infusion Of Bevacizumab After Osmotic Blood Brain Barrier Disruption For Recurrent Malignant Glioma In Journal Of Neurosurgery Volume 114 Issue 3 2011

Glioblastoma Multiforme Grade Iv Astrocytoma Mnemonic For Usmle

Glioblastoma Multiforme Grade Iv Astrocytoma Mnemonic For Usmle

High Grade Glioma Including Diffuse Intrinsic Pontine Glioma Springerlink

High Grade Glioma Including Diffuse Intrinsic Pontine Glioma Springerlink

What Is Glioblastoma Multiforme

What Is Glioblastoma Multiforme

Imaging In Glioblastoma Multiforme Overview Radiography Computed Tomography

Imaging In Glioblastoma Multiforme Overview Radiography Computed Tomography

Multi Modality Imaging Of A 39 Year Old Female Patient With A Download Scientific Diagram

Multi Modality Imaging Of A 39 Year Old Female Patient With A Download Scientific Diagram

Multi Modality Imaging Of A 39 Year Old Female Patient With A Download Scientific Diagram

Glioblastoma Multiforme Who Grade 4 Patient 2 A An Anaplastic Download Scientific Diagram

Glioblastoma Multiforme Who Grade 4 Patient 2 A An Anaplastic Download Scientific Diagram

A Grade 4 Glial Tumor Glioblastoma Multiforme B Lymphoma C Download Scientific Diagram

A Grade 4 Glial Tumor Glioblastoma Multiforme B Lymphoma C Download Scientific Diagram

Epos Trade

Epos Trade

Glioblastoma Gb Brain Tumour Foundation Of Canada

Glioblastoma Gb Brain Tumour Foundation Of Canada

What Are The Goals For Surgery In Glioblastoma Multiforme Gbm

What Are The Goals For Surgery In Glioblastoma Multiforme Gbm

1 H Mrs Spectra Of Glioblastoma Multiforme Who Iv Samples Lac Download Scientific Diagram

1 H Mrs Spectra Of Glioblastoma Multiforme Who Iv Samples Lac Download Scientific Diagram

Medpix Case Glioblastoma Multiforme Who Grade 4 Astrocytoma

Medpix Case Glioblastoma Multiforme Who Grade 4 Astrocytoma

Spinal Metastasis Of Glioblastoma Multiforme Before Gliosarcomatous Transformation A Case Report Bmc Neurology Full Text

Spinal Metastasis Of Glioblastoma Multiforme Before Gliosarcomatous Transformation A Case Report Bmc Neurology Full Text

Glioblastoma Overview Mayo Clinic

Glioblastoma Overview Mayo Clinic

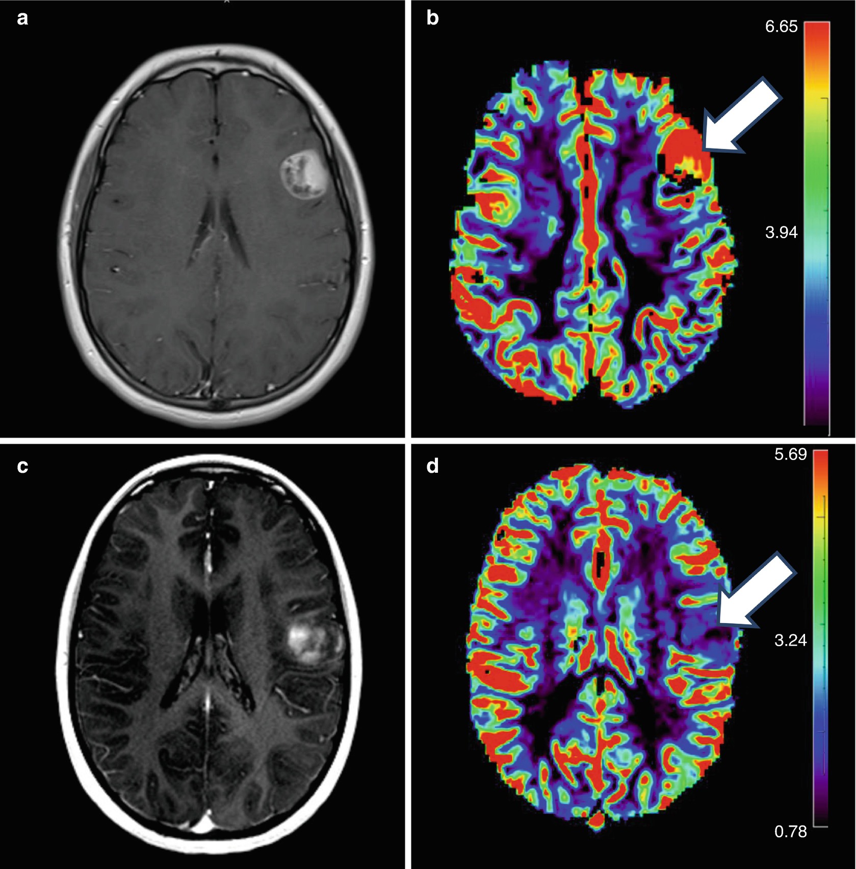
Advanced Magnetic Resonance Imaging In Glioblastoma A Review Shukla Chinese Clinical Oncology

Advanced Magnetic Resonance Imaging In Glioblastoma A Review Shukla Chinese Clinical Oncology

Survival And Prognostic Factors For Glioblastoma Multiforme Retrospective Single Institutional Study Ghosh M Shubham S Mandal K Trivedi V Chauhan R Naseera S Indian J Cancer

Survival And Prognostic Factors For Glioblastoma Multiforme Retrospective Single Institutional Study Ghosh M Shubham S Mandal K Trivedi V Chauhan R Naseera S Indian J Cancer

Pdf Glioblastoma Multiforme With Diplopia

Pdf Glioblastoma Multiforme With Diplopia

Stock Image Gbm 0012 00001 01ba84v3 Snezanastojanovic Search Medical Scientific Stock Photos At Medicalimages Com

Stock Image Gbm 0012 00001 01ba84v3 Snezanastojanovic Search Medical Scientific Stock Photos At Medicalimages Com

Glioblastoma Radiology Reference Article Radiopaedia Org

Glioblastoma Radiology Reference Article Radiopaedia Org

Source : pinterest.com